Carolina Periodontics & Endodontics
Periodontist? Endodontist? Why not Both!

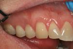
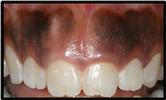
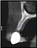
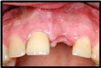
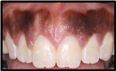
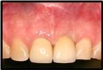
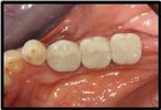
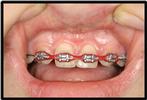
Smile Gallery

Below are just a few examples of before & after cases illustrating our work

Ready to book an appointment?
Quickly Appointed and Scheduled

Thank you for working me into your schedule so quickly. I was in such pain and you were so accommodating. Your skills as a diagnostician and clinician are amazing. Your entire staff is to be commended for their professionalism.
Judith G
May 2013

If you have difficulty using our website, please email us or call us at (803) 327-4444
View the ADA Accessibility Statement