Carolina Periodontics & Endodontics
Periodontist? Endodontist? Why not Both!
(803) 327-4444
Carolina Periodontics & Endodontics
Periodontist? Endodontist? Why not Both!
(803) 327-4444
Schedule an appointment
(803) 327-4444
Menu
Call
Book Now
Map
Home
Doctors & Staff
Our Team
Office Photos
Treatment Options
View All
Periodontally Accelerated Orthodontics
Sedation
Periodontal Maintenance
Pocket Reduction Procedure
Dental Implants
Soft Tissue Grafting
Crown Lengthening
Scaling and Root Planing
Uncovery of an Unerrupted Tooth
Root Removal
Frenectomy
Biopsy
Root Canal Retreatment
Surgical Root Canal Therapy
Socket Preservation
Bone Grafting
Root Canal Therapy
Treatment Photos
Testimonials
Forms
FAQs
View All
Crown Lengthening
Dental Implants
Periodontal Maintenance
Pocket Reduction Procedure
Root Canal Retreatment
Root Removal
Scaling and Root Planing
Soft Tissue Grafting
Surgical Root Canal Therapy
Bone Grafting
Root Canal Therapy
Contact
Carolina Periodontics & Endodontics
>
Treatment Photos
>
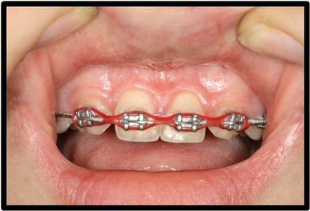
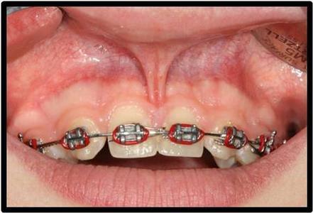
Frenectomy
Frenectomy
Return to Smile Gallery
Previous
Next
Often following orthodontics a tight muscle pull known as a "frenum" needs to be removed to prevent relapse.
Before
After
Improve your smile today – call to schedule a consultation!
Claim Now!
If you have difficulty using our website, please
email us
or call us at
(803) 327-4444
View the
ADA Accessibility Statement
Turn on ADA Views
OK!
×
×
Contact Us Today
Give Us A Call
Carolina Periodontics & Endodontics -
(803) 327-4444
Send Us an Email
Schedule an appointment
Contact
Ready to Schedule an Appointment?
Schedule an appointment
Have Questions? Contact Us:
Required Field
Your Name:
Phone:
Email:
Are you a new patient?:
Are you a?
New Patient
Current Patient
How would you like us to contact you?
Please choose
Email
Call
How did you hear about us?
Please choose
I'm an existing patient
Google/Bing
Mailer
Word of mouth
Social media
Other
Who Referred You?:
Appointment Preferences
Monday
Tuesday
Wednesday
Thursday
Your Message:
This site is protected by reCAPTCHA and the Google
Privacy Policy
and
Terms of Service
apply.
Sending...
×
This Patient's Experience
Loading Testimonial...
Loading Case...